If you have noticed a small bony prominence, or experienced pain in the inner middle aspect of your foot during or after exercise, you may have developed an accessory bone called “Os Navicular”.
What is an accessory bone?
An accessory bone is an anatomic developmental variant that does not usually appear as a bone in the body. They can appear on one foot or both feet.
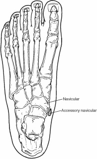
Os is the latin name for bone, and Navicular is the latin name for ‘little ship’. In our body, the navicular bone refers to a small boat-shaped bone that forms part of the inner arches of our feet. Os navicular is therefore known as an accessory bone of the navicular.

An accessory navicular is one of the more common accessory bones that occur. It is present in approximately 4-20% of the population.
Symptoms

In a symptomatic individual, pain is often exacerbated by prolonged walking/exercise. Mild swelling and redness may present over the bony prominence. Pain will be reproducible with direct palpation over the middle of your foot.
In certain cases, patients will report a history of trauma, such as an ankle sprain or injury from direct impact to the foot. Turning your foot in is often difficult and painful to perform. Often, patients report difficulty in performing a single leg heel raise due to pain.
Should I be concerned?
While these accessory bones usually do not usually cause any pain, they can sometimes start to become symptomatic after trauma or an injury. If you are getting pain in your foot or ankle, it could indicate a symptomatic accessory bone, which prompt treatment is recommended to prevent further worsening of your condition. Having a symptomatic Os navicular can sometimes trigger conditions such as tibial tendon pathology, flattening of your arches, and arch pain.
How can a Podiatrist help?
A podiatrist will perform a thorough lower limb biomechanical assessment to determine the cause of your symptoms, as it is common for Os navicular syndrome to be misdiagnosed as an ankle sprain or other similar pathology. Your podiatrist will then advise on appropriate footwear, activity moderation, stretching and strengthening exercises, footwear modification, as well as prescription of foot orthoses if indicated.
At Physio & Sole Clinic, our licensed and experienced podiatrists are able to help you with this condition with the appropriate treatments provided. Get in touch with us for an appointment at any of our branches that are convenient for you. If you have any enquiries that are podiatry related, send them at our Whatsapp A Podiatrist service at 91754929!
Written by:
Nicole Niam
Senior Podiatrist
Physio and Sole Clinic

